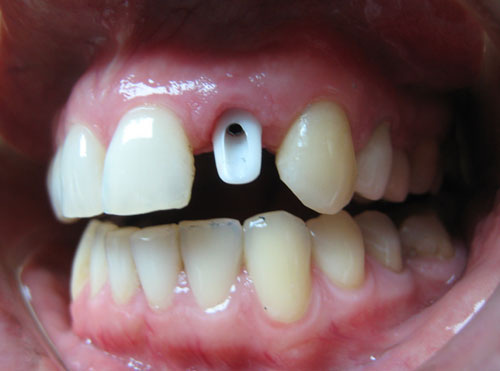
Dzięki implantom uzupełnisz braki zębowe .
Implanty to elementy z tytanu w kształcie kilku milimetrowego stożka, które zastępują korzeń zęba. Po umieszczeniu w kości, dzięki swej biozgodności -zrastają się z nią , a na nich możemy osadzić korony ,mosty protetyczne lub protezy ruchome.
Możemy odbudować
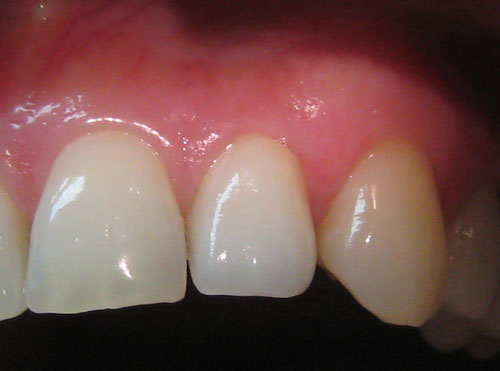
- brak jednego zęba (korona)
- dwóch i więcej zębów (most)
- braki wszystkich zębów
Jeśli brakuje wszystkich zębów można wykonać most oparty na kilku implantach, albo protezę ruchomą, która się będzie stabilnie i mocno trzymać.
10 POWODÓW DLA KTÓRYCH WARTO MIEĆ IMPLANTY
- Funkcjonują jak twoje własne zęby.
- Nie wymagają ingerencji w sąsiednie zęby-nie szlifujemy ich.
- Zapobiegają bezpowrotnej utracie (zanikowi kości)jaka ma miejsce po usunięciu zębów.
- Są trwałe- jeśli będziesz o nie odpowiednio dbać ,mogą służyć nawet całe życie.
- Najlepsza estetyka, wymowa i odczuwanie smaków.
- Nie wymagają stosowania kleju mocującego protezy zębowe.
- Eliminują dyskomfort i uczucie niepewności związane z luźnymi ,źle dopasowanymi protezami.
- Zwiększają możliwości spożywania zróżnicowanych pokarmów.
- Najbardziej naturalnie uzupełniają brakujące zęby ,przywracając tym samym funkcję żucia swobody mówienia i uśmiechania się.
- Dodają pewności i wiary w siebie.
PROCEDURY KROK PO KROKU
Leczenie implantami podzielone jest na kilka etapów :
-Diagnostyka (CBCT tomografia komputerowa) i planowanie leczenia
-Etap chirurgiczny-polegający na wprowadzeniu implantu w kość ( szablon chirurgiczny)
-Etap wgajania -trwający od 2 do 6 miesięcy
-Etap odbudowy protetycznej
-Etapy kontrolne
DIAGNOSTYKA I PLANOWANIE LECZENIA
Każdorazowo zabieg wprowadzenia implantu jest poprzedzony badaniem stomatologicznym oraz szczegółową diagnostyką z użyciem tomografii komputerowej co umożliwia precyzyjne dobranie rodzaju implantu oraz dokładne zaplanowanie zabiegu.
W wielu przypadkach implant może być umieszczony podczas jednej wizyty połączonej z usunięciem chorego czy zniszczonego zęba – jest to tak zwana implantacja natychmiastowa. Czasami jednak konieczne są dodatkowe zabiegi przedimplantacyjne, takie jak odbudowa czy regeneracja tkanek w których ma się znaleźć implant. O tym, czy zabieg będzie wymagał większej ilości czasu, zostaniemy poinformowani przez naszego lekarza wcześniej, na etapie tworzenia planu leczenia oraz wyboru implantu.
W sytuacjach w których podłoże kostne lub tkanki miękkie (czyli dziąsło) nie pozwalają na wprowadzenie implantu przedyskutujemy z Państwem konieczność dodatkowych procedur. Mogą do nich należeć zabiegi rekonstrukcyjne, takie jak podniesienie dna zatoki szczękowej (w przypadku niewielkiej ilości lub słabej jakości kości w odcinkach bocznych w szczęce), odbudowa kości, poprawa kondycji tkanek miękkich.
SZABLON CHIRURGICZNY
Nawigacja komputerowa- technika umieszczania implantów z zastosowaniem indywidualnych ,drukowanych szablonów chirurgicznych. Wykorzystywane są w tym celu specjalistyczne programy komputerowe (na podstawie tomografii komputerowej) do przeprowadzenia symulacji precyzyjnego umieszczenia implantów.
Dzięki temu można bardzo precyzyjnie umiejscowić implanty, biorąc pod uwagę aspekty kliniczne i późniejsze aspekty estetyczne.
ETAP CHIRURGICZNY
Proces implantacji jest całkowicie bezbolesny, a prawidłowo umieszczony implant przez lata będzie służył jako stabilna podstawa odbudowująca ząb. Należy pamiętać, że po zabiegu wszczepienia implantów pacjent może odczuwać przejściowy dyskomfort.
Wprowadzenie implantu w miejsce istniejącego braku zębowego (z użyciem szablonów chirurgicznych)
znieczulenie miejscowe i wprowadzenie implantu stomatologicznego + ewentualna regeneracja kostna – uzupełnienie tymczasowe zęba i wgajanie się implantu 2-8 miesięcy – uzupełnienie ostateczne zęba.
ETAP PROTETYCZNY
Etap odbudowy protetycznej, polegający na wykonaniu uzupełnień w postaci koron lub mostów przykręcanych do łączników -implantów.
W przypadku protez ruchomych opartych na implantach- elementem mocującym mogą być zatrzaski kulkowe ,belki.
W leczeniu implantologicznym często stosowane są także tymczasowe uzupełnienia protetyczne, w szczególności kiedy implant jest wszczepiony w odcinku przednim. Pacjent nigdy nie opuszcza gabinetu z widocznym brakiem zęba , co pozwala normalnie funkcjonować i zapewnia psychiczny komfort.
Odbudowa pojedynczego zęba

Odbudowa kilku zębów

Odbudowa bezzębnej szczęki lub żuchwy

ETAPY KONTROLNE
Najważniejsze w leczeniu jest to, aby przestrzegać zaleceń lekarza, dbać o higienę jamy ustnej oraz regularnie odbywać wizyty stomatologiczne.
Umożliwia to odpowiednio wcześnie wychwycić ewentualne problemy i zaradzenie nim.

CHIRURGIA STOMATOLOGICZNA
Najczęściej wykonywane zabiegi chirurgii stomatologicznej:
- Ekstrakcje zębów (usunięcie zęba)
- Usuwanie ósemek i zębów zatrzymanych
- Resekcje wierzchołków korzeni zębów
- Usuwanie torbieli
- Usuwanie zmian w obrębie błony śluzowej jamy ustnej
- Plastyka wędzidełek warg i języka
Dzięki zastosowaniu znieczulenia ,wszystkie zabiegi odbywają się całkowicie bezboleśnie.
STOMATOLOGIA CYFROWA
Stomatologia to jedna z najszybciej rozwijających się gałęzi medycyny. Chcąc zapewnić Ci dostęp do najnowocześniejszych metod leczenia, na bieżąco wprowadzamy nowe technologie. Dzięki temu leczenie jest szybsze, bardziej przewidywalne i trwałe.
W stomatologii cyfrowej tradycyjny wycisk zębów, pobierany masą wyciskową na specjalnej łyżce, zastąpiony został skanem 3D Twoich zębów.
Skaner z bardzo dużą dokładnością rejestruje kształt i położenie zębów pacjenta, a obraz jamy ustnej widoczny jest w czasie rzeczywistym na ekranie komputera

ZALETY
- Szybsze leczenie – gotowy skan laboratorium protetyczne otrzymuje w tym samym momencie na ekranie komputera
- Dokładność i jakość – wycisk cyfrowy jest dokładniejszy, pozbawiony błędów możliwych do wykonania tradycyjną metodą
- Komfort pacjenta – unikamy nieprzyjemnych wrażeń podczas wycisków, szczególnie u pacjentów, którzy mają silny odruch wymiotny .
Alternatywy implantów dentystycznych.
Przykładami rozwiązań alternatywnych dla implantów dentystycznych są tradycyjne korony i mosty oraz wyjmowane protezy częściowe i całkowite.
Konwencjonalne uzupełnienia protetyczne wymagają zwykle oszlifowania zdrowych, sąsiednich zębów, aby zapewnić podparcie dla mostu .Ponadto nie stymulują znajdującej się pod nimi kości, co może spowodować zanikanie tkanki kostnej i cofnięcie się dziąseł.


Procedury- krok po kroku
Leczenie implantami podzielone jest na kilka etapów:
- Diagnostyka i planowanie leczenia.
- Etap chirurgiczny - polegający na wprowadzeniu implantu w kość.
- Etap wgajania - trwający od 2 do 6 miesięcy (w tym czasie dochodzi do trwałego połączenia kości z implantem).
- Etap odbudowy protetycznej - polegający na wykonaniu uzupełnień w postaci koron lub mostów cementowanych na łącznikach wkręconych do implantów lub przykręcanych bezpośrednio do łączników. W przypadku protez opartych na implantach elementem mocującym protezę do implantów mogą być zatrzaski kulkowe, belki.
- Etapy kontrolne - po zakończeniu leczenia protetycznego pacjent powinien zgłaszać się na wizyty kontrolne celem oceny właściwej higieny i stanu uzupełnień - przestrzeganie tej procedury umożliwia odpowiednio wcześnie wychwycić ewentualne problemy i zaradzenie im.
Diagnostyka i planowanie leczenia
Konsultacja implantologiczna
To wizyta, na której po szczegółowym badaniu i ocenie zdjęcia panoramicznego obu szczęk (tzw. pantomogramu) lekarz omawia z pacjentem możliwości leczenia implantologicznego .Wynik tego zdjęcia decyduje o kwalifikacji pacjenta do zabiegu lub konieczności poszerzenia badań o CT - tomografię komputerową lub/i modeli diagnostycznych aby móc szczegółowo zaplanować zabieg chirurgiczny.
Nawigacja komputerowa
Nawigacja komputerowa to bardzo zaawansowana technika umieszczania implantów. Wykorzystuje ona specjalistyczne programy komputerowe do przeprowadzenia(na podstawie tomografii komputerowej) –symulacji precyzyjnego umieszczenia implantów i zabiegu augmentacji kości. Dzięki programowi NOBEL GUIDE lekarz może umiejscowić implanty w idealnym położeniu, wykorzystując w tym celu informacje pochodzące z obrazów 2D, jak i 3D oraz biorąc pod uwagę aspekty kliniczne i estetyczne.
Dzięki temu można uzyskać wizualizację estetycznego umieszczenia implantów.
Etap chirurgiczny
Regeneracja kości (odbudowa kości)


Do prawidłowego umieszczenia implantów dentystycznych niezbędna jest odpowiednia ilość i jakość kości. Niestety, w ok. 40% przypadków zabiegów konieczna jest rekonstrukcja kości.
Kiedy mamy do czynienia z zanikiem kości:
- po usunięciu zębów, z biegiem lat następuje proces stopniowego zaniku wyrostka kostnego zarówno żuchwy jak i szczęki (optymalny okres na wszczepienie implantu to 3-6 miesięcy po ekstrakcji zęba),
- po utracie zęba w wyniku urazu mechanicznego,
- po utracie zęba na skutek paradontozy,
- stany zapalne okołowierzchołkowe np.ziarniniaki i torbiele także doprowadzają do znacznego defektu kostnego,
- po skomplikowanych i traumatycznych ekstrakcjach,
- długoczasowe użytkowanie osiadających protez częściowych i osiadających wskutek nacisku przez dziąsło na kość również powoduje zanik.
We wszystkich powyższych przypadkach niezbędna jest odbudowa kości celem uzyskania satysfakcjonującego nas efektu funkcjonalnego i estetycznego. W implantologii stomatologicznej posługujemy się następującymi technikami rekonstrukcyjnymi:
Sterowana Regeneracja Kości (GBR) i Sterowana Regeneracja Tkankowa (GTR).
Procedury te polegają na stymulacji kości do wzrostu za pomocą biomateriałów - preparaty kościotwórcze i kościozastępcze np. BioOss, BioGuide i inne.
Podniesienie dna zatoki szczękowej (sinus lift)
Zabieg ten znacznie poszerza możliwości zastosowania implantów u pacjentów z niewystarczającą ilością kości w odcinkach bocznych szczęki, głównie bezzębnej, której pneumatyzacja, czyli powiększanie się, wzrasta stopniowo w trakcie życia i w miarę utraty zębów.
Skłoniło to do poszukiwania technik operacyjnych, które umożliwiłyby stosowanie implantów w tych właśnie okolicach. Jedną z takich metod jest podnoszenie dna zatoki szczękowej i wprowadzenie kości autogennej lub biomateriału kościotwórczego w przestrzeń powstałą między dnem zachyłka zębodołowego zatoki szczękowej, a uniesioną błoną śluzową wyścielającą ten zachyłek.
Etap protetyczny
- Odbudowa pojedynczego zęba.

- Odbudowa kilku zębów.

- Odbudowa bezzębnej szczęki lub żuchwy.

W leczeniu implantologicznym często stosowane są także tymczasowe uzupełnienia protetyczne, w szczególności kiedy implant jest wszczepiony w odcinku przednim. Pacjent nigdy nie opuszcza gabinetu z widocznym brakiem zęba, co pozwala mu normalnie funkcjonować i zapewnia psychiczny komfort.
Implanty to najbardziej naturalne uzupełnienie brakujących zębów przywracając tym samym funkcje żucia, swobody mówienia i uśmiechania się. Dodają pewności i wiary w siebie.
Leczenie implantami stwarza możliwość odbudowy utraconych zębów w sposób zapewniający olbrzymi komfort pacjentom. Polega ono na wprowadzeniu do kości implantu (śruby) wykonanego z tytanu, który po umieszczeniu w kości dzięki swej biozgodności ulega osseointegracji tzn. trwałemu połączeniu tytan - kość, dzięki czemu imituje on korzeń utraconego zęba.
Implanty to najlepszy sposób na uzupełnienie zarówno braku pojedynczych jak i braków wielo-zębowych oraz całkowitego bezzębia.
Pobierz prezentację10 powodów dla których warto mieć implanty:
- Wyglądają, funkcjonują, zapewniają komfort i są odczuwane jak prawdziwe zęby (poprawa jakości życia).
- Eliminują konieczność nieodwracalnego szlifowania sąsiednich zębów, która w przypadku stosowania mostów jest konieczna.
- Jako jedyne zapobiegają bezpowrotnej utracie (zanikowi kości) jaka ma miejsce po usunięciu zębów.
- Implanty dentystyczne nie wymagają stosowania kleju mocującego protezy zębowe.
- Eliminują dyskomfort i uczucie niepewności związane z luźnymi, źle dopasowanymi protezami.
- Są niezawodne i trwałe( mają służyć do końca życia),dlatego w perspektywie długoczasowej są ekonomiczne GWARANCJA 10 LAT.
- Najbardziej naturalnie uzupełniają brakujące zęby przywracając tym samym funkcje żucia, swobody mówienia i uśmiechania się.
- Zwiększają możliwości spożywania zróżnicowanych pokarmów.
- O implanty dbamy jak o swoje naturalne zęby.
- Dodają pewności i wiary w siebie.